Stop Living In Discomfort Or Feeling
Embarrassed About Your Teeth
On this page, you’ll learn how our advanced fixed dental implants can eliminate the pain, discomfort, and embarrassment of damaged or missing teeth...
So you can finally smile with confidence again.

Free 3D X-Ray Scan ($350 Value) | 100% Free Consultation

Take the First Step to a Permanent and Brand-New Smile in Just One Day!
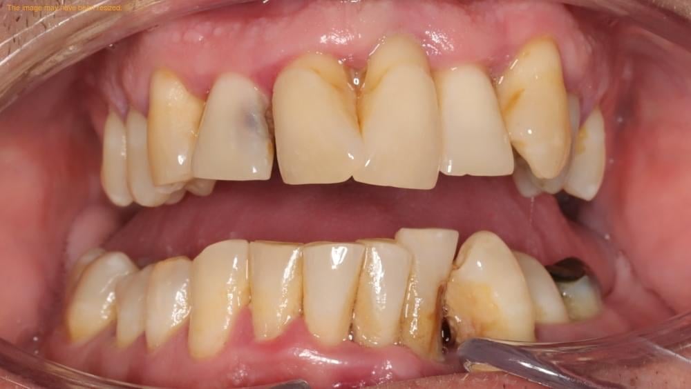
If You’ve Ever Held Back a Laugh, Avoided Social Gatherings...
If You’ve Ever Held Back a Laugh, Avoided Social Gatherings...
Find Out How You Can Get a Permanent and Brand-New Smile in Just One Day!
Implants Treatment Is For You

Client Smile Transformations











Free 3D X-Ray Scan ($350 Value) | 100% Free Consultation




Ever Held Back A Laugh, Avoided Social Gatherings, Or Lost Sleep Due to Failing Teeth Or Gum Disease?
There’s Something You Need To Know!
You’ve likely been told to consider solutions like dentures.
Now, this option might seem like the logical choice, and it may offer you short term some relief.
However, if your teeth are failing and you find your dental bills growing and growing, dentures might NOT be the best solution.
Dentures come with significant drawbacks that can impact your quality of life and overall dental health.
Let’s go over some of them so you can better understand the pros and cons of this solution.
There are many different solutions,
lets find what best suits you!
Click the buttons below to learn about each method.
If You’re Considering Dentures…
They are a cost-effective solution for replacing missing teeth. They are relatively quick to produce and can be easily removed for cleaning and maintenance..
Dentures are created by taking impressions of your mouth to ensure a proper fit, and then crafting the dentures in a dental lab to match the shape and size of your gums and remaining teeth.

However, the reality is:
If You’re Considering Snap-On Dentures...
They provide a more secure fit compared to traditional dentures, offering better stability while eating and speaking.
They can be easily removed for cleaning and maintenance, providing convenience and improved oral hygiene.
The procedure involves placing implants into your jawbone, which the dentures then snap onto. This process usually requires multiple appointments to place the implants and fit the dentures properly, ensuring a snug and comfortable fit.

That said, it’s important to be aware of some potential drawbacks:
If You’re Considering Traditional Dental Implants…
This offers a permanent solution for replacing missing teeth, providing a natural look and feel.
When it comes to the procedure, it involves placing titanium implants into your jawbone, which serve as a sturdy foundation for crowns or bridges.

But, there are some important considerations to keep in mind:
What Is The Right Option For YOU?

They are a cost-effective solution for replacing missing teeth. They are relatively quick to produce and can be easily removed for cleaning and maintenance.
Dentures are created by taking impressions of your mouth to ensure a proper fit, and then crafting the dentures in a dental lab to match the shape and size of your gums and remaining teeth.


However, the reality is:
However, the reality is:
They can slip or shift while eating or speaking, causing you to experience unexpected embarrassing moments and inconvenience.
They require frequent adjustments and replacements, which can be time-consuming and costly long-term.
They do not address the issue of bone loss in the jaw, leading to further dental problems over time.
They can cause sore spots and irritation in the mouth, leading to constant discomfort.

If You’re Considering Snap-On Dentures...
They provide a more secure fit compared to traditional dentures, offering better stability while eating and speaking.
They can be easily removed for cleaning and maintenance, providing convenience and improved oral hygiene.
The procedure involves placing implants into your jawbone, which the dentures then snap onto. This process usually requires multiple appointments to place the implants and fit the dentures properly, ensuring a snug and comfortable fit.

That said, it’s important to be aware of some potential drawbacks:
If You’re Considering Traditional Dental Implants…
This offers a permanent solution for replacing missing teeth, providing a natural look and feel.
When it comes to the procedure, it involves placing titanium implants into your jawbone, which serve as a sturdy foundation for crowns or bridges.

But, there are some important considerations to keep in mind:
If You’re Considering Dentures…
They are a cost-effective solution for replacing missing teeth. They are relatively quick to produce and can be easily removed for cleaning and maintenance..
Dentures are created by taking impressions of your mouth to ensure a proper fit, and then crafting the dentures in a dental lab to match the shape and size of your gums and remaining teeth.
However, the reality is:
If You’re Considering Snap-On Dentures…
They provide a more secure fit compared to traditional dentures, offering better stability while eating and speaking.
They can be easily removed for cleaning and maintenance, providing convenience and improved oral hygiene.
The procedure involves placing implants into your jawbone, which the dentures then snap onto. This process usually requires multiple appointments to place the implants and fit the dentures properly, ensuring a snug and comfortable fit.
That said, it’s important to be aware of some potential drawbacks:
the drawbacks may prevent you from getting the results you’ve always wanted
From the constant adjustments and discomfort of dentures or snap-on dentures…
These treatments can leave you feeling exhausted and frustrated before you even begin.
But today, you can avoid the downsides of these treatments, because…
While They May Help You Improve Your Dental Health...
these drawbacks may prevent you
from getting the results you’ve always wanted
From the constant adjustments and discomfort of dentures or snap-on dentures…
These treatments can often leave you feeling exhausted and frustrated
before you even begin.
But today, you can avoid the downsides of these treatments, because…
Free 3D X-Ray Scan ($350 Value) | 100% Free Consultation

There’s A Better Way!
No more pain from dentures slipping or shifting while you eat or speak, No more frequent adjustments and dental visits for snap-on dentures, No more lengthy procedures, waiting months for traditional dental implants.
And most importantly No more dealing with failing teeth, infections, and missing
out on your favorite meals.
Instead you can look forward to…

Restore the natural look and feel of your teeth so you can smile, speak, and laugh freely again.

Walk out of our clinic with a beautiful, functional smile without the waiting periods.

Enjoy a comfortable fit and the ability to eat your favorite foods right away.

Save money in the long run, as these implants are permanent and eliminate the need for frequent replacements or additional procedures.

Benefit from durable and long-lasting implants designed to provide you with a long lasting solution to dental problems.

We use advanced restorative techniques to replace damaged or missing teeth, giving you a strong, natural-looking smile that feels like your own again.
Free 3D X-Ray Scan ($350 Value) | 100% Free Consultation

introducing Our Fixed Dental
Implant Bridge Treatment
Unlike traditional dentures or snap-on dentures, our implants offer a lasting, stable, and comfortable fit that allows you to live your life without the constant worry about your teeth.

Place Holder Images
When you undergo this treatment, the entire process is completed in just one day, thanks to our innovative approach that uses implants to secure a full arch of teeth. This allows you to walk out of our clinic with a brand-new smile.
And if you’re worried about pain during the procedure, don’t be. Most patients report minimal discomfort afterward.
This is because of our modern IV-sedation technique, which ensures you’re comfortable and pain-free throughout.
Designed To Last.
Unlike traditional dentures or snap-on dentures, our implants offer a lasting, stable, and comfortable fit that allows you to live your life without the constant worry about your teeth.
Our advanced implant techniques are designed to restore both function and aesthetics, giving you a smile that looks, feels, and performs just like natural teeth.
And if you’re worried about pain during the procedure, don’t be. Most patients report minimal discomfort afterward.


Free 3D X-Ray Scan ($350 Value) | 100% Free Consultation

This Hassle-Free, Permanent Solution Will Transform Your Smile In Just One Day
to give you a full set of brand-new teeth.
Introducing Our Fixed Dental Implant
Bridge Treatment
When you undergo this treatment, the entire process is completed in just one day, thanks to our innovative approach that uses only four implants to secure a full arch of teeth (aka All-on-4). This allows you to walk out of our clinic with a brand-new, permanent smile.
And if you’re worried about pain during the procedure, don’t be. Most patients report minimal discomfort afterward.
This is because of our modern IV-sedation technique, which ensures you’re comfortable and pain-free throughout.
Now, I know you may be thinking…
Here’s a step-by-step breakdown

Free Comprehensive Consultation
This advanced imaging technology allows us to plan the procedure with incredible precision and efficiency.
Most clinics don't have a 3D x-ray machine, so you’d have to go to a third-party location, which can cost $200-$400 and require an extra appointment.
But with us, it’s complimentary as part of our ‘Permanent Dental Restoration Implant’ consultation.

Extraction
Worried about the pain? Don’t worry! You’ll be comfortably asleep during this step, ensuring a pain-free and stress-free experience.
This step is crucial to prepare your mouth for the implants.

Implant Placement

Advanced Prosthetic Attachment

Enjoy Your Brand New, Permanent Teeth!
As you look in the mirror, you see a set of beautiful, natural-looking teeth that feel just as good as they look. No more hiding your smile or feeling self-conscious in social situations.
You can laugh freely, enjoy your favorite foods, and speak with confidence, knowing that your teeth are secure and comfortable.
Picture yourself biting into a crisp apple or savoring a delicious steak without any hesitation or discomfort.
Your new teeth will not only enhance your appearance but also improve your overall quality of life, allowing you to live fully and fearlessly.
We’ll also provide step-by-step aftercare instructions and support to make sure your recovery is smooth and quick.
How Does It Even Work?

We start with a thorough evaluation of your dental health, including a 3D x-ray (Cone Beam Computed Tomography) scan.
This advanced imaging technology allows us to plan the procedure with incredible precision and efficiency.
Most clinics don't have a 3D x-ray machine, so you’d have to go to a third-party location, which can cost $200-$400 and require an extra appointment.
But with us, it’s complimentary as part of our ‘Fixed Dental Implant Bridge Implant’ consultation.


This is when we permanently place the full-mouth dental implants. These implants act as sturdy, permanent roots for your new teeth, providing a strong foundation for a beautiful, natural-looking smile.
If you’re worried about the pain, don’t be! You’ll be comfortably asleep during this step, thanks to our modern anesthesia techniques. This ensures a pain-free and stress-free experience, allowing you to wake up with your new implants already in place.
This step is crucial as it prepares your mouth for the final prosthetic attachment, ensuring that your new teeth are secure and perfectly aligned.


And lastly, we screw on an advanced set of prosthetics that sit securely on the dental implants, providing a stable, natural-looking set of fully restored teeth.

Enjoy Your Brand New Set of Teeth!
As you look in the mirror, you see a set of beautiful, natural-looking teeth that feel just as good as they look.
No more hiding your smile or feeling self-conscious in social situations. You can laugh freely, enjoy your favorite foods, and speak with confidence, knowing that your teeth are secure and comfortable.
Picture yourself biting into a crisp apple or savoring a delicious steak without any hesitation or discomfort.
Your new teeth will not only enhance your appearance but also improve your overall quality of life, allowing you to live fully and fearlessly.
We’ll also provide step-by-step aftercare instructions and support to make sure your recovery is smooth and quick.
Free 3D X-Ray Scan ($350 Value) | 100% Free Consultation

Here’s a step-by-step breakdown

Free Comprehensive Consultation
This advanced imaging technology allows us to plan the procedure with incredible precision and efficiency.
Most clinics don't have a 3D x-ray machine, so you’d have to go to a third-party location, which can cost $200-$400 and require an extra appointment.
But with us, it’s complimentary as part of our ‘Fixed Dental Implant Bridge Implant’ consultation.

Implant Placement
If you’re worried about the pain, don’t be! You’ll be comfortably asleep during this step, thanks to our modern anesthesia techniques. This ensures a pain-free and stress-free experience, allowing you to wake up with your new implants already in place.
This step is crucial as it prepares your mouth for the final prosthetic attachment, ensuring that your new teeth are secure and perfectly aligned.

Advanced Prosthetic Attachment
Lastly, The Final Step...


Walk out of our clinic with a confident and brand new beautiful smile.
And as you look in the mirror, you will see a set of beautiful, natural-looking teeth that feel just as good as they look.
No more hiding your smile or feeling self-conscious in social situations. You can laugh freely, enjoy your favorite foods, and speak with confidence, knowing that your teeth are secure and comfortable.
Picture yourself biting into a crisp apple or savouring a delicious steak without any hesitation or discomfort.
Your new teeth will not only enhance your appearance but also improve your overall quality of life, allowing you to live fully and fearlessly.
We’ll also provide step-by-step aftercare instructions and support to make sure your recovery is smooth and quick.
Free 3D X-Ray Scan ($350 Value) | 100% Free Consultation

Still Think It’s "Just a Smile"? Think Again.

It’s easy to think dental problems only affect how your teeth look, but the truth is your mouth is the gateway to your entire body. When bacteria, inflammation, or infection go untreated, they don’t just stay in your mouth.
They can affect everything from your heart and brain to your immune system and mental well-being.

Neglecting oral health can lead to:
However, the reality is:
Chronic inflammation that affects your entire body.
Increased risk of heart disease, stroke, and memory decline.
Weakened immune system and slower healing.
Greater difficulty managing blood sugar and diabetes.
Higher risk of respiratory infections and breathing issues
Ongoing pain or discomfort that makes daily life harder
Stress, low self-esteem, and even anxiety
Don’t wait until small dental issues turn into bigger health problems....
Book your FREE consultation today and discover how improving your smile can transform not only your confidence, but your total health and well-being.
Free 3D X-Ray Scan ($350 Value) | 100% Free Consultation

Implant
eating normally?
is used?
is the fit?
teeth produced?
during the procedure?
Take A Look At Why Our Patients Love Their New Smiles


Conquering Dental Anxiety

Heartfelt Care

I LOVE My smile!
Client Smile Transformations

Every visit to the dentist felt daunting, and she longed for a change that would improve her smile and boost her confidence.
"This procedure has changed my life. The team at the clinic was fantastic friendly and welcoming. They explained everything clearly and listened to my needs, making adjustments to suit my preferences. My mouth feels better, my smile looks better, and I feel better about myself. It's truly life-changing."

After opting for fixed implants, her life changed dramatically.
"I felt comfortable with the team from the get go. Other dentists made me feel guilty, but not here. Once I got past the initial healing, I could eat everything apples, corn on the cob, nuts. My diet and confidence improved. I no longer work a job I hate; I moved into a people-centered field where personal connection matters. My teeth are no longer a limiting factor. The team made me feel like a person, not an ATM. If you’re considering dentures or implants, I’d 1,000% recommend going the fixed route. It changed everything for me."

Even eating something as simple as lettuce was difficult. Dentures weren't the right fit for him, so he opted for dental implants. Here's what he has to say about his experience now:
“I can eat anything I want, and that is a blessing in itself. Everything is done in a timely manner, and it's a 10 out of 10. I don't think he could do any better.”

After being advised that nothing could be done, he found us and experienced a remarkable transformation:
"Oh my god, it was awful... no upper teeth, no bite. Now I have a very good bite. Ever since I've had that, I haven't got even one infection in the last year. Now I can eat carrot easily, apple easily... cashews, pistachios, all those good things."

Facing issues with eating and smiling, he knew it was time for a change:
"My confidence was mediocre at best, and I'm in a service industry, so a smile is everything. The confidence probably went to a nine and a half. This has been, like, probably a 10 out of 10 experience. What you've done is life-changing. So thank you very much. And as much as I love you and your team, I can't wait till I never have to see you again."

Which impacted her confidence and ability to enjoy life fully. After consulting with us, she chose implants:
"After getting the implants, the way that I feel now is a billion times better. My self-confidence has increased tremendously. I actually can smile, showing my teeth versus a closed mouth smile. It just makes me look happy. I am happier. I enjoy life a lot more. I can eat better foods. It's wonderful just being able to dig into a hamburger and a nice juicy steak and corn on the cob is a big thing." I suffer from anxiety when it comes to dentists... they made me feel so comfortable. I used IV sedation, and it was great. I don't remember a darn thing. It was pain-free. If I were to leave a Google review it would be five plus, plus, plus."

Fortunately, the team provided a flexible solution:
"They worked around my schedule, which I really like because I'm not a fan of taking off work in the middle of the day. They made it very easy, and I appreciate that. If somebody's considering dentures or implants, I would say at least explore the implant route. Five out of five for sure. The team do get it done right."
Free 3D X-Ray Scan ($350 Value) | 100% Free Consultation

If You’re Still On The Fence…
If You’re Still On The Fence…



continue to push your dental health aside
Look, we know you're struggling.
But if you continue to push your dental health aside, imagine what the future could look like.
Picture yourself a few years from now, still dealing with the same dental issues…
The constant pain from failing teeth, the embarrassment of gum disease, and the daily struggle with dentures that don’t fit right.
Social gatherings become even more uncomfortable, and you find yourself avoiding them altogether.
Eating your favourite foods becomes a distant memory as you stick to a limited diet that avoids anything too hard or chewy.
Your dental health continues to decline, leading to more problems that require even more invasive and costly treatments.
The anxiety and stress of not knowing what each dental visit will bring start to take a toll on your overall well-being.
And all the while…
You’re going to miss out on moments of joy and connection because you’re too self-conscious about your smile.



But it doesn’t have to be this way!
With our “Fixed Dental Implant Treatment,” you can change this future without waiting for months and going through a long recovery period.
Imagine waking up with a brand-new smile in just one day.
No more pain, no more embarrassment,
and no more avoiding the things you love.
You’ll be able to eat freely, laugh without hesitation, and enjoy life with the confidence that comes from having a beautiful, healthy smile.
The choice is yours…
Free 3D X-Ray Scan ($350 Value) | 100% Free Consultation

Take A Look At Why Our Patients Love Their New Smiles


Conquering Dental Anxiety

Heartfelt Care

I LOVE My smile!
Frequently Asked Questions

Click The Question To View Answer
Most patients can return to their normal routine within 48 hours. You can start enjoying soft foods immediately after the procedure.
Our sedation techniques ensure that you’re comfortable and pain-free throughout the procedure. Most patients report minimal discomfort.
We offer a few types of materials for the implants, including Acrylic and Zirconia. We highly recommend Zirconia due to its strength, durability, and natural appearance.
It depends. Many of our patients undergo the procedure with just local anesthetic or regular freezing, but we offer sedation options for those who require it.
Our teeth are digitally mapped for a precise fit, ensuring optimal results and a natural feel.
With proper care and maintenance, our dental implants are designed to last a lifetime. Regular check-ups and good oral hygiene are essential to ensure their longevity.
Absolutely! Our implants are crafted to look and feel like natural teeth. We use advanced materials and digital mapping to ensure a perfect fit and a natural appearance.
Our procedure is designed to address a wide range of dental issues, including failing teeth, gum disease, and ill-fitting dentures. During your consultation, we will assess your dental health and create a customized treatment plan for you.
Maintaining your new implants is similar to caring for natural teeth. Regular brushing, flossing, and dental check-ups are essential to keep your implants in excellent condition.
Book Your FREE Consultation
Click Below to schedule your
FREE no-obligation consultation.
Free 3D X-Ray Scan ($350 Value) | 100% Free Consultation


- ZERO Setup Fees Just Share The Profit
This bolt on order-bump averages a 30% take rate and 3-month average retention; meaning you will earn up to $26.94 per customer - we handle the setup, we handle the processing, and we handle the customer service for ZERO cost to you.
Here are some of the offers that we’ve worked with…



